Contact

Individual Patient Solutions

IPS® CaseDesigner®

IPS® Planning-easier and faster than ever before

IPS® CaseDesigner was designed with a wizard-based approach to form the most intuitive, straightforward orthognathic planning platform on the market. 

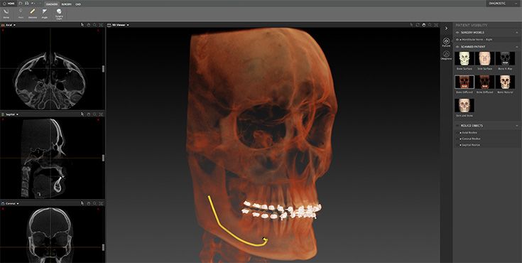
Patient model

IPS® CaseDesigner offers a variety of views of the patient model. The bone-diffused view can be particularly helpful when determining osteotomy location and avoiding important anatomical structures.

Surgery model

Accurate overlay of dental models to the CT scan allows for precise orthognathic planning and cephalometric analysis.

Occlusion and osteotomies

A slice-by-slice view of the final occlusion will ensure the optimal bite for the patient.

Soft tissue simulation

Soft tissue simulations are available in transparent or non-transparent views. In addition, the predictions will update in real-time as you move the simulations.

Indications

  • Orthognathic splints help to achieve planned realignments/adjustment of osteotomized maxilla and/or mandibles. They are intended for single use only.

Features

  • Wizard-based approach for case setup and planning

  • Real-time soft tissue simulation

  • Comprehensive 3D cephalometric analysis

  • Clearly structured, user-oriented interface

 

Wizard-guided workflow for optimal case planning

Diagnostic tools

Diagnostic tools, such as the Surgery Ceph Wizard, make the plotting of desired landmarks, dimensions,and planes straightforward. The cephalometric values update live during the planning session and are clearly visible.

This site uses third party website-tracking-technologies to provide their services. I agree and can revoke or change my consent at any time with future effect.

Refuse Settings Accept ImprintPrivacy policy