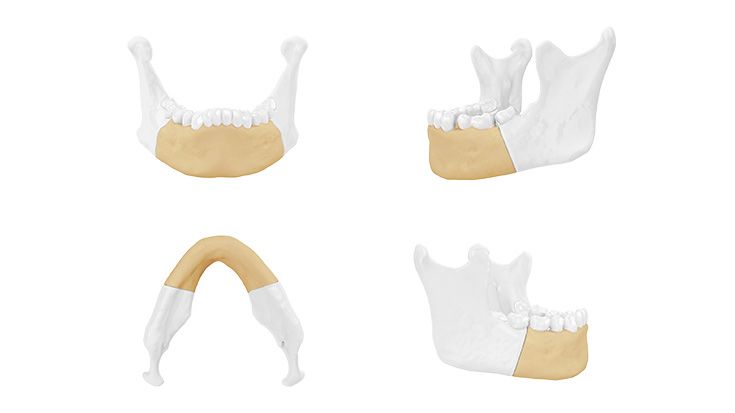
IPS® Distraction
As the world leader in the field of distraction osteogenesis, we have combined our expertise in patient-specific implants to set a new milestone in distraction techniques.
Based on our well-established distraction systems and the use of modern IPS® technologies, we developed IPS® Distraction, a new distraction solution that is individually designed for the patient. As part of the IPS® product family, IPS® Distraction is supported by an easy and efficient process – from the planning to the individualized distractor.

