Kontakt

News

05.05.2025 | Unternehmen

IPS CaseDesigner® Version 2.6

Der IPS CaseDesigner® stellt ein anwenderfreundliches Tool dar, mit dem sich orthognathe Fälle intuitiv, einfach und schnell planen lassen - so unsere Anwender! Mit dem Update kommen unter anderem folgende neue Funktionen:

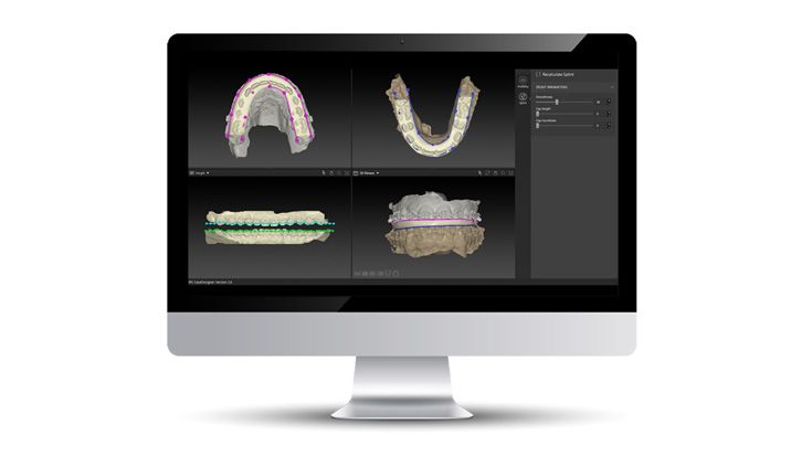
Splint Workspace

Splint Workspace

Für die Definition des Splintdesigns können Sie alternativ die bisherige Schritt-für-Schritt-Führung überspringen und den Splint Workspace verwenden. Dieser beinhaltet alle Funktionen kombiniert auf einer Seite.

Luftweganalyse

Luftweganalyse

Sie Zahnwurzeln können automatisiert segmentiert und bei Bedarf anschließend noch optimiert werden. Außerdem kann der Unterkiefernerv neben der manuellen Markierung nun auch automatisiert markiert werden.

 

Autorotationsachse und Rami-Rotationspunkte

Autorotationsachse und Rami-Rotationspunkte

Die Autorotationsachse kann separat von den Rami-Rotationspunkten eingestellt werden.

Wir haben Ihr Interesse geweckt?

Sie sind interessiert an allen Funktionen und Möglichkeiten, die der IPS CaseDesigner® bietet?

Diese Seite nutzt Website-Tracking-Technologien von Dritten, um ihre Dienste anzubieten. Ich bin damit einverstanden und kann meine Einwilligung jederzeit mit Wirkung für die Zukunft widerrufen oder ändern.

Ablehnen Einstellungen Akzeptieren ImpressumDatenschutz